- UNIT IG1: Management of Health and Safety Open Book Examination Task
- FDY3006SCC Examining Social Justice Assignment Case Study | Arden University
- Database Management System (DBMS) Assignment Case Study – Normalisation of Dental Exam Relation
- Strategic Leadership Assignment Task 1 OF 3 – Case Study
- Negotiation Skills Assignment: Preparing Expatriates for Cross-Cultural Business Success in the UK
- Innovation and Enterprise Management Assignment: A Comprehensive Case Study on Entrepreneurial Mindset, Design Thinking, and the Impact of Innovation on the Creative Economy
- Workforce Diversity at Roybit Solutions HR Case Study: Identifying Challenges and Implementing Strategic Solutions for an Inclusive Workplace
- 3CO02 Principles of Analytics Assignment: Applying People Analytics to Drive Evidence-Based HR Decisions at Company X
- 3CO01 Business Culture and Change in Context Assignment: Navigating Organisational Growth and Cultural Integration through the Acquisition of Emrosu by BPE
- Operations Management Case Study Assignment: Integrating Lean, Design, and AI for Sustainable Growth at CFS
- Application of Psychological and Sociological Theories of Health: A Case Study on Addiction and Recovery in Ebony-Anne Merici
- Case Study for Adult and LD Students: Holistic and Person-Centered Care Planning for Keisha with Down’s Syndrome and Diabetes
- Misrepresentation and Contractual Remedies Assignment: Legal Advice for Keith on the Sale of a Defective Vehicle
- Naturopathic Nutrition Assignment : Client Case Study on Health Drivers, Aims & Therapeutic Plan
- Atomic Structure & Bonding Assignment : Lab-Based Element Analysis and Molecular Case Study
- BTEC L3 Unit 22.2 Systems Analysis Assignment: Requirements Specification and System Design for Client Project
- CIPD Level 3CO01 Assignment: Mason Street Furniture Case Study on External Influences & Organisational Change
- 1STU401 Corporate Finance Strategy Assignment: Beer Namibia Limited Case Study for Business Diversification & Risk Management
- M33224 Assignment: Critical Analysis of ECtHR Jurisprudence and Domestic Applications under the Human Rights Act 1998
- Exclusive Distribution and Active Sales under EU Competition Law – Case Study
7037BMS: A 61-year-old woman with Rai Stage-III Chronic Lymphocytic Leukaemia (CLL) was initially treated: Hematology Case Study, UK
| Subject | 7037BMS Hematology Case Study |
Case study
A 61-year-old woman with Rai Stage-III Chronic Lymphocytic Leukaemia (CLL) was initially treated with four monthly cycles of fludarabine. Because of an unsatisfactory response, she then received three cycles of standard chemotherapy followed by radio-immunotherapy (RIT) supported with autologous Peripheral Blood Progenitor Cell (PBPC) rescue.
Buy Answer of This Assessment & Raise Your Grades
Two days after her PBPC infusion, the patient was admitted to a local hospital for culture-negative neutropenic fever and treated with IV antibiotics and G-CSF. During this hospitalisation, nonirradiated blood components including 2 units of non-WBC-reduced RBCs and 3 units of WBCreduced single-donor apheresis platelets were transfused over two days. The patient was discharged to home after 7 days in the hospital, afebrile and with a normal WBC count.
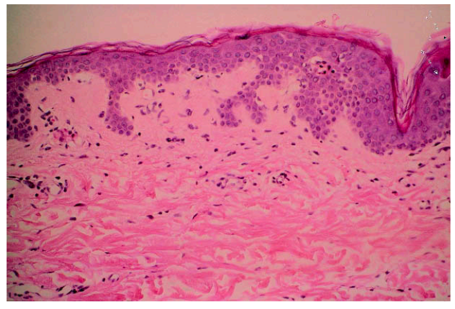
Ten days after transfusion of the PBPCs, the patient presented with a 2-day history of recurrent fevers and a new, salmon-coloured, diffuse, maculo-papular rash. On admission, laboratory studies revealed a WBC count of 6.1×109/L with an absolute neutrophil count of 5.4×109/L, an Hb level of 80 g/L, and a platelet count of 16×109/L. Diarrhoea, liver function test elevations, and pancytopenia developed over the next 4 days. Skin biopsy, performed the day of admission, showed a predominantly mononuclear cell infiltration (see Figure) and a marrow biopsy revealed marked hypocellularity.

Figure showing a marked mononuclear cell infiltrate on a skin biopsy.
Based on the above information, provide an initial diagnosis of this condition, further examinations that would be required to confirm the diagnosis and a potential approach to therapy.
Are You Looking for Answer of This Assignment or Essay
Are you facing challenge with 7037BMS Hematology Case Study? Buy Case Study Solutions for saving your golden time. we can understand importance of your time. for saving uk students time we provide assignment help services in uk.



